瘋狂醫院-外科診療室(1F)
經驗值獲得的數量,會依照疾病的種類而略有差異。
直接轉診:知名度+1
診斷失敗:經驗-1~3,知名度+1
診斷成功,治療錯誤或轉診:經驗+2~5,知名度+1
治療成功:(有操作)經驗+18~26,知名度+2,考核+1~2
(無操作)經驗+8~10,知名度+2,考核+1
(萬靈丹)經驗+8~10,知名度+2,考核+3
過多檢查:(額外)經驗-x,人緣-x,x=病人抱怨次數
完成三大外科手術:(額外)魅力+1
有操作之治療,會依照操作的失誤程度減少經驗與考核值。
一.【盲腸炎】
症狀:噁心、嘔吐、腹痛、發燒、白血球增加
診斷:右下腹部壓痛
治療:施行闌尾切除術 (需前往開刀房)
問題:食慾欠佳,想吐,又不想上廁所,肚子感覺痛時,去壓著覺得還好,放
掉時怎變得好痛,好像有發燒及嘔吐的感覺。
問題:肚子感到劇烈疼痛,連帶發燒、頭暈、食慾不振、噁心等症狀,有點
嘔吐,但是並沒拉肚子,好像是吃壞肚子!
問題:工作時肚子突然痛得好厲害,還有點發燒、噁心、疲倦、沒有胃口、
全身虛弱的感覺,大概是吃到什麼不乾淨的東西吧?
二.【胃炎】
症狀:胃痛、頭痛、疲憊、噁心、打嗝
診斷:1.胃部X光攝影
2.胃鏡檢查可發現胃壁有發紅、發炎等異常現象
治療:打點滴
問題:上腹部大概是胃的地方有一種悶痛的感覺,很不舒服,覺得頭痛、疲倦、
以及噁心,打嗝時還帶點酸味。
問題:我一直打嗝,而且打嗝時好像有一點酸酸的味道,上腹部絞痛的厲害,
好難過!整夜翻滾無法入睡。
問題:我肚子痛,晚上痛的睡不著,一種悶痛的感覺,很不舒服,早上起床時
頭很痛,有點噁心的感覺,打嗝時帶點酸味。
三.【腎盂腎炎】
症狀:發燒、畏寒、不適、白血球增加
診斷:1.肋骨脊椎角有壓痛
2.尿液中菌落數增加
治療:藥物治療
問題:不曉得是不是撞到還是閃到腰,肋骨下靠脊椎處好像不太舒服,輕觸時
都會酸酸的感覺,腰部兩側也不太舒服。
問題:發燒、畏寒、全身不舒服,可是又不太像是感冒引起的,肋骨、脊椎等
部位輕敲就會疼痛,不知道是哪裡不對勁?
問題:好像是感冒,剛量體溫三十八度半,畏寒、全身不舒服等症狀,此外
肋骨、脊椎等部位有些壓痛的感覺,很不舒服。
四.【疝氣】
症狀:腹部用力時腹股溝出現腫塊並且會感疼痛
診斷:應行觸診以確定腫塊之大小及位置
治療:施行赫尼亞修補術 (需前往開刀房)
問題:我一抱小孩時,奇怪,前下腹部四週常會鼓起來,有時候還會伴隨劇烈
的疼痛,不知道是什麼病?想起來就覺得害怕!
問題:下腹部骨盆、肚臍一帶突然劇烈絞痛,連帶覺得頭暈、噁心、想吐等症
狀,並沒有拉肚子,是不是得了盲腸炎?
問題:多年來腸胃一向不好,常有絞痛或脹氣等症狀,我一直不太在意,但最
近只要肚子一用力,下腹部就會感到劇烈疼痛。
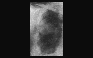
五.【膿胸】
症狀:發燒、胸痛、呼吸窘迫、厭食、體重下降
診斷:1.聽診時聽不到呼吸聲
2.X光檢查可見到積膿處(和肋膜積水相同)
治療:針頭吸膿
問題:這幾個月來食慾很差、人也越來越瘦,最近更是經常覺得肋骨間有壓痛
感,甚至連呼吸都覺得有點困難。
問題:近來呼吸不太順暢,胸部鬱悶疼痛,而且由於食慾不佳,體重一直下降,
伴隨經常性的發燒、頭暈,全身都覺得很不舒服。
問題:發燒、頭暈、沒有精神、吃不下飯、體重不斷減輕;而且長期覺得胸部
鬱悶疼痛,呼吸窘迫等症狀,會不會是肺結核?
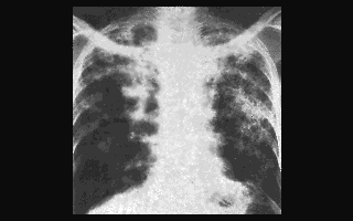
六.【肺膿瘍】
症狀:咳嗽、咳血、胸痛、多痰、痰中有各種細菌混雜
診斷:X光檢查可以看到肺內有大陰影存在
治療:服用抗生素
問題:咳嗽咳得胸部好痛,有時還咳出血來;而且咳出來的痰又黏又稠還帶有
很難聞的味道,實在很難過。
問題:發燒、出汗、咳嗽不止,胸腔劇烈疼痛,難以忍受,而且痰很濃、又臭,
還帶有一些血絲。
問題:發燒、出汗、寒顫、咳嗽、胸部劇烈疼痛難以忍受,而且痰很濃、又臭,
有時還帶有一些血絲。
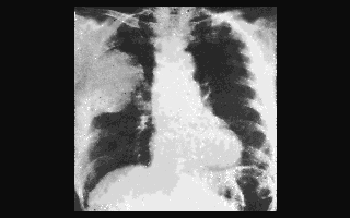
七.【肺結核】
症狀:咳嗽、咳血、咳痰、倦怠、體重下降、胸部疼痛、虛弱、食慾不振
診斷:1.結核菌素皮膚試驗呈陽性
2.X光檢查可見肺內有許多鈣化結節
治療:藥物治療
問題:咳嗽不止,而且大量咳痰、甚至咳血!食慾欠佳,因而體重一直下降,
整天沒有精神、容易疲倦、四肢無力,昏昏沈沈的。
問題:不停的咳嗽、咳痰、咳血,咳得肺部好痛;整天吃不下任何東西,只是
一直覺得頭暈腦脹、好疲倦、想休息、睡覺。
問題:不停的咳嗽、咳痰、咳血,咳得肺部好痛;而且食慾很差,體重一直下
降,整天頭暈腦脹、容易疲倦、全身不舒服。
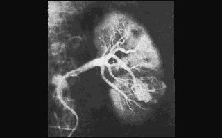
八.【腎臟腫瘤】
症狀:發燒、貧血、體重下降、無痛性血尿
診斷:1.腎的X光攝影可看見腫瘤 (檢查結果和正常圖差不多)
2.切片檢查
治療:若為惡性腫瘤應施以放射線治療法
問題:體重一直減輕,身體虛弱,而尿中有血,可是排尿時並不會疼痛;常常
發燒、頭暈、腰痛等毛病,會不會是腎發炎?
問題:小便中帶血,可是在排尿時並不會痛,而最近幾個月來體重也一直在下
降,常常發燒、頭暈、身體不舒服、容易疲倦等。
問題:會不會是解尿時太用力了,小便紅紅的,可是解尿時並不覺得不適,但
會有發燒、頭暈等症狀,腹部兩邊覺得有點疼痛。
九.【胃潰瘍】
症狀:胃痛、血便
診斷:1.胃部X光檢查
2.胃鏡檢查可見到有異常潰瘍等病變
治療:部份胃切除術 (需前往開刀房)
問題:我胃很痛,晚上痛的睡不著,一種悶痛的感覺,很不舒服,早上起床時
頭很痛,有點噁心的感覺。
問題:上腹部大概是胃的地方有一種悶痛的感覺,很不舒服,覺得頭痛、疲倦、
以及噁心的感覺。
問題:我肚子一直在痛,又不想上廁所,能不能幫我量體溫,好像有發燒的感
覺,也有一點嘔吐感。
十.【食道癌】
症狀:吞嚥困難、反胃、體重下降、身體虛弱、吐血
診斷:1.食道鋇劑攝影 (檢查結果和正常圖差不多)
2.食道鏡檢查
3.切片檢查
治療:放射線治療法
問題:最近體重下降,容易便秘,呼吸困難,呼吸有臭味;整天沒精打采,全
身沒力的感覺,很不舒服!太硬的食物不太能吞!
問題:這幾個月來胸骨下會疼痛、吞嚥困難,常常打嗝,常感到疲倦、軟弱無
力;口水中好像有點紅紅的,真糟糕!
問題:最近時常感覺疲勞,四肢無力;而且有時便祕、有時卻又拉肚子,嘔吐
物中常帶有血絲,不知道是什麼毛病?
【針頭吸膿】
1.用肥皂洗手並戴上手套。

2.用紗布在手術部位塗上消毒藥水。
3.將接有三向接頭的針頭,由背後肩胛骨尖端的正下方處,插入病人胸腔之中。
4.用止血鉗夾住針頭與三向接頭,以防止其脫落。
5.將針筒與導管分別接在三向接頭的另外兩個開口上,並將導管的另一個接頭接在胸液收集瓶上。

6.抽完積膿按結束即可。