瘋狂醫院-內科診療室(1F)
經驗值獲得的數量,會依照疾病的種類而略有差異。
直接轉診:知名度+1
診斷失敗:經驗-1~3,知名度+1
診斷成功,治療錯誤或轉診:經驗+2~5,知名度+1
治療成功:(有操作)經驗+12~18,知名度+2,考核+1
(無操作)經驗+8~10,知名度+2,考核+1
(萬靈丹)經驗+8~10,知名度+2,考核+3
過多檢查:(額外)經驗-x,人緣-x,x=病人抱怨次數
有操作之治療,會依照操作的失誤程度減少經驗值。
一.【傷寒】
症狀:頭痛、發燒、嘔吐、腹賬、下腹部疼痛
診斷:1.血清凝結素呈陽性
2.糞便檢查有潛血反應
治療:肌肉注射 (遊戲教學書籍裡寫的是[藥物治療並住院觀察])
問題:我剛來時就吐了一地,肚子也很不舒服,頭痛的要命!解尿時好像有點
痛,人有點發燒,肚子覺得賬賬的,還一直排氣呢!
問題:我有點發燒、頭痛、嘔吐、胸痛、心跳很快、還有點拉肚子,好像有
血便的情形,下腹部覺得十分疼痛;是吃壞肚子了嗎?
問題:我頭痛、額頭有點熱,起床後咳嗽且吐了一地,肚子脹風絞痛厲害,還
有一點痛,曾經胃痛過,不曉得是什麼毛病?
二.【心肌梗塞】
症狀:胸部劇烈疼痛、心臟不舒服
診斷:1.白血球含量增加
2.心電圖變化(Q波變大、ST升高、T波倒立)

治療:吃止痛藥
問題:食慾很差,肚臍邊怪怪的;工作時胸部突感到很痛,好像刀在刺,實在
無法忍受;常很喘、發燒及焦燥的感覺,很不舒服。
問題:胸腔突然感受到一種尖銳、強烈而無法忍受的劇烈疼痛,胃也悶悶的感
覺,雖然立刻休息,但並沒有明顯改善。
問題:心臟突然尖銳刺痛,家中血壓量起來好像蠻高的好害怕;發作當時並沒
有從事什麼較重的工作,也並沒有緊張或生氣等。
三.【肺炎】
症狀:發燒、寒顫、胸痛、咳嗽、痰多且濃
診斷:1.聽診呼吸有痰聲
2.胸部X光檢查可見到肺中有許多不規則陰影
治療:服用抗生素
問題:咳嗽咳得胸部好痛!心跳很快,覺得呼吸有臭味都快喘不過氣來了!
發燒、頭暈、四肢無力、全身都不舒服,好像感冒。
問題:我全身發熱,可是又覺得好冷,一直在發抖,前一陣子感冒咳了很久,
咳了一些痰,沒去理他,竟然沒好?
問題:我又拉肚子又咳嗽的快喘不過氣來了,感覺臉紅紅熱熱的,卻又冷得一
直發抖,整個關節都很痛像是得了重感冒的樣子。
四.【肋膜炎】
症狀:呼吸短促、吸氣時胸部劇烈疼痛
診斷:1.聽診可聽到肋膜的磨擦聲(痰聲)
2.胸部X光檢查可見到橫隔膜上方有腫瘤狀陰影
治療:服用抗生素
問題:我喘得好厲害,頭暈眼花,好難過,是不是得肺炎呢?而且喘氣的時候
胸部痛得受不了,大概是肺部有什麼毛病吧?
問題:我不喘氣還好,一喘氣肺部就好痛,會不會是肺的毛病!而且呼吸的頻
率快得很不正常,幾乎快要讓我喘不過氣來了!
問題:我呼吸頻率快的很不舒服而且在吸氣時,胸部就好像是用刀子在割一般
的疼痛,實在是受不了了,去年還曾經得過肺炎呢!
五.【肋膜積水】
症狀:呼吸短促、吸氣時胸部劇烈疼痛、脈搏快速、咳嗽
診斷:1.聽診可聽到脊柱旁有濁音
2.胸部X光檢查可見到橫隔膜附近有積水陰影
治療:實行胸腔放液術
問題:我感到自己的呼吸及心跳快的異常,怎覺得有點喘而且在吸氣時,胸部
就好像是用刀在割一般的疼痛,實在是受不了了!
問題:最近體重上升、一喘氣胸部就好痛,簡直快痛死我了!而且心跳和呼吸
的頻率快得很不正常,幾乎快要喘不過氣來了!
問題:不知道為什麼胃悶痛後心跳的好快,呼吸又短、又快,幾乎要讓我喘不
過氣來了!而且一喘氣,肺部就好痛!怎麼辦呢?
六.【支氣管擴張】
症狀:杵狀指、常期咳嗽、大量膿痰、咳血
診斷:1.聽診可聽到肺底部有濁音
2.胸部X光檢查可見到肺內有許多輪狀陰影
治療:打點滴
問題:醫生,我咳嗽咳了一個多月,咳出來的痰又黏又稠,有時候還帶點血絲‧‧
不知道是不是肺結核?還是其他什麼毛病?
問題:最近常想清喉嚨,整天都覺得有很多痰卡在喉嚨裡,很不舒服,有時候
咳出的痰中還帶有血絲,大概是肺部有什麼問題吧?
問題:本來以為是小感冒,沒理他感冒卻愈來愈厲害,常咳嗽,好像有點喘,
痰中有血絲的樣子,有沒有問題啊?麻煩大了‧‧‧
七.【肺塵病】
症狀:呼吸窘迫、胸痛、厭食、體重下降、咳嗽
診斷:1.痰中含有許多石棉及煤粒
2.胸部X光檢查可見到肺內有許多散佈性小結節
治療:藥物治療
問題:這幾個月來食慾不振、體重輕了,有時候還覺得呼吸有點困難,並且胸
部經常隱隱作痛,會不會肺部有什麼問題?
問題:最近幾個月咳嗽得很厲害,而且常常覺得呼吸困難,食慾不振,體重減
輕等症狀,不知道和隔壁工廠的污染是否有關?
問題:最近吃不下、咳嗽得很厲害,而且常常覺得呼吸困難、胸部疼痛,有點
倦怠,體重減輕等症狀。
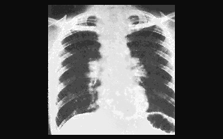
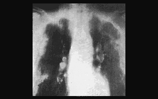
八.【肺氣腫】
症狀:杵狀指、桶狀胸、四肢水腫、咳嗽、呼吸窘迫、體重下降
診斷:胸部X光檢查 (檢查結果和左邊正常圖一樣,應該是右邊的圖才對,遊戲誤植了)

治療:靜脈注射 (實際應為遊戲教學書籍裡寫的[服用抗生素],遊戲的資料錯了)
問題:最近有點著涼的樣子,一咳嗽居然就是一個多月而且還愈來愈嚴重,人
也愈來愈虛弱,呼吸很不順暢,痰又多又稠。
問題:最近幾個月咳嗽咳得很厲害,而且常常覺得呼吸困難、食慾不振,身體
愈來愈瘦弱,可是四肢又浮腫得好厲害,真奇怪。
問題:最近常咳嗽,而且整天都覺得有很多痰卡在喉嚨裡,很不舒服,而且呼
吸不太順暢,大概又得肺炎了吧?
九.【糖尿病】
症狀:吃多、喝多、尿多、體重下降、容易疲勞、虛弱、昏迷
診斷:1.血糖含量過高
2.尿液試紙變色
治療:打點滴注射胰島素
問題:最近視力模糊的厲害,好像覺得很累的樣子,容易疲倦,眼科醫師建議
我轉診來此門診,不知道有什麼毛病?
問題:近來皮膚癢癢的,沒想到一抓卻破皮了,傷口不見其癒合,人愈來愈瘦,
體力也愈來愈差,容易疲倦,是不是生病了?
問題:醫生,我最近想增肥,可是體重不增反減,容易覺得疲倦,常常覺得口
渴,跑廁所,又特別是在飯後常覺得昏昏欲睡。
十.【感冒】
症狀:打噴嚏、流鼻水、發燒、咳嗽、頭痛、寒顫、不適
治療:吃藥或肌肉注射
問題:打噴嚏、流鼻水、全身發熱、四肢酸痛、整天昏昏沉沉,頭暈腦脹的,
我想大概是感冒了吧?
問題:有點發燒、咳嗽,又覺得好像全身發冷!而且覺得頭痛、鼻塞、四肢無
力,感到十分疲倦,覺得頭痛不已,全身都不舒服。
問題:我覺得好冷、頭暈、咳嗽、身體發熱,全身骨頭又酸又痛,沒有力氣、
懶洋洋、無精打采的,好像是感冒了。
十一.【高血壓】
症狀:脈搏快速、頭暈、手腳不聽使喚
診斷:收縮壓高於160,舒張壓高於90
持續按[開始加壓],將汞柱加壓到頂點(或比預計病人的收縮壓再高
一些),按下[開始放氣],聽到第一聲脈博時汞柱高度為收縮壓,開
始聽不見脈博時汞柱高度為舒張壓。但因有音樂干擾,不太容易聽清楚。
治療:藥物治療
問題:劇烈運動、緊張或生氣時心臟就跳得好快,有時連手腳都不聽使喚,大
概是心臟有什麼毛病吧?
問題:稍微運動一下心臟就跳得好快,經常覺得頭暈,有的時候連手腳都有點
麻麻的,好怕會中風啊?
問題:劇烈運動、緊張或生氣時心臟就跳得好快,有時連手腳都不聽使喚,我
這種年紀的人可能得到高血壓嗎?
十二.【急性腎小球腎炎】
症狀:水腫、呼吸短促、頭痛、軟弱倦怠、厭食
診斷:1.尿中含有尿蛋白過高
2.脊柱及肋骨處有壓痛
治療:靜脈注射
問題:頭痛,倦怠、呼吸急促、吃不下飯,並且感到身體十分虛弱、疲倦、沒
有精神,身體虛胖了不少不曉得是什麼毛病?
問題:這兩天覺得頭痛的很累、倦怠、呼吸急促、厭食感到十分虛弱、四肢無
力,而且眼皮好像有點腫腫的,會不會是糖尿病。
問題:今天起床後突然覺得頭痛且呼吸有點急促,並且感到身體十分虛弱、疲
倦、全身無力,而且下肢按下去,好久才恢復原狀。
十三.【甲狀腺機能低下症】
症狀:皮膚乾燥、健忘、遲鈍、便秘、食慾不振、腸胃功能減慢
診斷:碘耐量試驗可發現病人體內碘的利用量變慢
治療:藥物治療
問題:最近常算錯帳,健忘得不得了,真傷腦筋!而且皮膚變得很乾燥,常脫
皮,食慾也很差,可是體重卻一直增加,奇怪?
問題:最近食慾很差,卻反而變胖,也常常便秘;而且注意力很不容易集中,
又常常忘記一些重要的事,不知道是怎麼回事?
問題:這幾個月來皮膚變得乾燥且會癢,不愛吃東西,可是體重反而增加,而
且好像愈來愈健忘,常常忘東忘西的,傷腦筋!
十四.【痛風】
症狀:手腳關節疼痛、發燒
診斷:尿酸過多
治療:靜脈注射消炎藥
問題:我手腳經常沒有什麼原因的劇痛起來,而且常常會引起發燒,全身不適
等症狀,不知道有沒有辦法可以根治?
問題:醫生,長久以來我的手腳等處的關節就經常無緣無故的痛起來,而且每
次都會引起發燒等症狀,這是不是關節炎?
問題:我的手指關節經常沒有什麼原因的痛起來,而且當關節正在痛的時候,
常會引起發燒,全身不適等症狀,很不舒服。
十五.【食物中毒】
症狀:噁心、嘔吐、腹痛、腹瀉、痙攣
治療:打點滴
問題:我感到有點發燒、頭痛、嘔吐、還有點拉肚子,而且肚子覺得十分疼痛;
會不會是吃壞肚子了?我好怕是盲腸炎?
問題:我肚子痛得不得了,還不停得吐,整個人快虛脫了,卻又拉肚子,中午
吃過海陸大餐,不曉得是不是不乾淨?
問題:中午吃過便當後肚子就一直不舒服,好像肚臍周圍有點怪怪的,一直在
拉肚子,而且也有一點嘔心、反胃的感覺。
【肌肉注射】
1.用酒精棉片消毒穿刺部位。
2.將針頭刺入手臂進行注射。
【靜脈注射】
1.在穿刺部位上方紮緊止血帶。
2.用酒精棉片消毒穿刺部位。
3.將針頭刺入靜脈進行注射。
【胸腔放液術】
1.用肥皂洗手並戴上手套。

2.用紗布在手術部位塗上消毒藥水。
3.用手術刀在胸腔右側手臂下方橫切出一個夠長的開口(略斜無所謂,長度必須在18~30個像素點)。
下刀後儘量慢慢移動滑鼠以避免斷線(移動超過1個像點便算斷線,斷線3次就算失敗)。
4.用手將切口撐開(撐不開表示切口太小)。
5.用止血鉗夾住導管,插入切口,導管接上引流器。


6.用針線將導管與皮膚縫合。
7.放液後按結束即可。